|
日前,烟台山医院手外一科完成了烟台市首例腕关节镜下四角融合术,为一位饱受腕关节疾病困扰的 58 岁患者带去了希望。该手术由社烟台市委会常委、主任医师付胜强领衔,李晓副主任医师、徐俊涛主治医师共同参与,这标志着烟台山医院在手外科微创手术领域取得了新突破,达到了业内先进水平。 
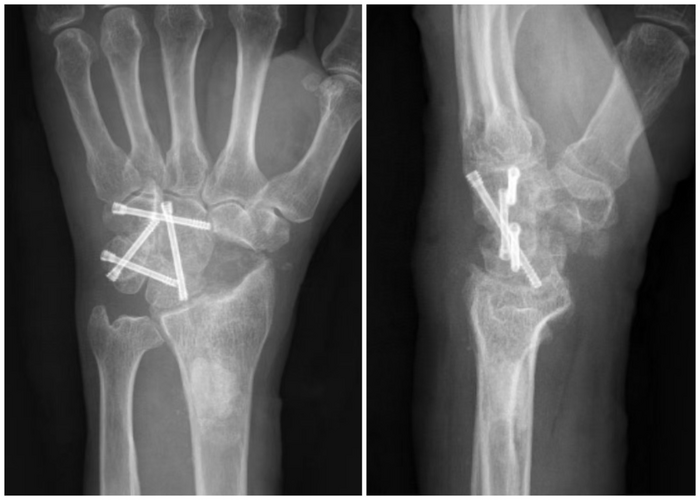
患者的困境与求医之路 该患者是一位农民,靠双手养家糊口。然而,命运却跟他开了个残酷的玩笑,腕关节的疼痛逐渐成为他生活与劳作的巨大阻碍。起初,腕部的不适只是偶尔闪现,他并未太过在意,以为只是劳作后的疲劳反应,简单休息后便又继续田间的忙碌。但随着时间推移,疼痛愈发频繁且剧烈,不仅影响到他日常的农活,连简单的抬手、握拳动作都变得异常艰难,夜晚更是常常被腕部的刺痛惊醒。 在家人的劝说下,他踏上了求医之路。辗转多家医院后,经X线片和MRI检查,最终被确诊为舟月分离导致的SLAC腕四期病变。这一病症使得桡舟关节、头月关节、钩头关节均出现严重关节炎,软骨剥脱,软骨下骨外露,腕关节的正常结构与功能遭受极大破坏,若不及时治疗,手部功能将进一步恶化,甚至可能面临残疾的风险。 传统切开手术存有局限 面对如此复杂棘手的病症,传统的切开手术曾是主要治疗手段之一。传统切开手术需要在腕关节处切开较大的切口,以充分暴露病变部位,这就如同对腕关节进行了一场“大刀阔斧”的拆解。一方面,大面积的切口意味着要切断诸多周围的软组织、韧带等结构,术后极易引发局部粘连,严重影响关节活动度,让患者在术后康复过程中面临漫长而艰难的功能锻炼阶段,且效果往往不尽如人意。另一方面,切开手术创伤大、出血多,术中视野相对有限,对于一些细微病变的处理难以做到精准到位,就好比在昏暗灯光下进行精细的雕刻工作,容易遗漏一些隐藏较深的病灶,增加了手术风险与术后复发的可能性。 腕关节镜下 四角融合术优势尽显 烟台山医院付胜强主任团队深知传统手术的弊端,在经过严谨的病例讨论与术前评估后,决定为患者实施腕关节镜下四角融合术。 手术当日,在精心的术前准备后,患者被推进手术室。与传统手术大开大合的场面截然不同,腕关节镜手术仅通过几个微小的切口,便将纤细的关节镜及手术器械探入腕关节内部。关节镜宛如医生的“第三只眼”,将腕关节内的病变情况清晰地呈现在屏幕上,细微之处纤毫毕现,为手术提供了精准的“导航”。 术中,付胜强主任熟练地操作关节镜,使用精细磨头、髓核钳等特制工具,透过微小切口直达病灶。在清除病变的舟骨时,犹如在狭窄的管道内进行一场精细的微雕手术,精准地去除病变组织,最大限度保留了健康的骨与软组织,将手术创伤降到最低。随后,对各个病变关节面的处理更是有条不紊,依次暴露并清除头月、钩头、月三角、钩三角各关节对应软骨面,操作精准度远超传统手术。 克氏针固定各关节环节,如同搭建稳固的“脚手架”,为后续置入3.0 空心加压螺钉奠定坚实基础。每一步操作都在关节镜的实时监控下进行,术中拍片再次确认固定位置良好,确保每一枚螺钉都精准就位,为腕关节的融合与康复提供可靠保障。 相较于传统切开手术,此次腕关节镜下四角融合术优势显著: 从创伤层面看,微小切口极大减少了对周围组织的破坏,术后切口愈合快,疤痕微小,几乎不影响腕部外观。周围软组织、韧带等结构得以完整保留,有效避免了术后粘连的发生,为患者术后快速康复、恢复手部功能创造了有利条件。 出血少是另一大突出优势,术中几乎看不到大量出血的场景,这不仅降低了因失血过多引发的各类风险,也减少了术后输血的可能性,减轻了患者身体负担,让患者在术后能以更快的速度恢复体力,投入到后续康复训练中。 精准度更是腕关节镜手术的“王牌”。凭借高清的关节镜视野,医生能够清晰辨别正常组织与病变部位,对病灶的清除做到“斩草除根”,同时避免误伤到周围重要结构,大大提高了手术治疗效果,降低了术后复发风险,让患者吃下“定心丸”。 
手术取得成功 腕关节功能逐步恢复 手术的成功只是患者康复之路的第一步。术后,在医护团队的精心照料下,患者恢复情况良好。手部肿胀程度较传统手术明显减轻,疼痛得到有效控制,这让患者在术后第一天便对康复充满信心。 早期,在手外一科康复团队的指导下,患者开始进行简单的手指屈伸活动,促进血液循环,预防肌肉萎缩。随着恢复进程推进,逐渐增加康复训练强度,从腕关节的轻微活动到逐步恢复一定的负重能力,每一步都坚实有力。 如今,这位患者已基本恢复了腕关节的部分功能,能够自理生活,还能从事一些轻度的农事活动,重新找回了生活的信心与希望。他激动地说:“真没想到,原本以为这手就废了,现在还能恢复得这么好,感谢烟台山医院的医生们!” 烟台山医院此次完成的烟台市首例腕关节镜下四角融合术不仅为众多类似病症患者提供了更优的治疗选择,也推动着烟台乃至周边地区手外科医疗水平迈向新高度。付胜强主任表示,“今后,我们团队将继续深耕微创手术领域,不断探索创新,让更多患者受益于先进的医疗技术,重拾健康生活。”(社烟台市委会) |